Elk Grove Smile Center

Missing Adult Tooth Replaced with Implant

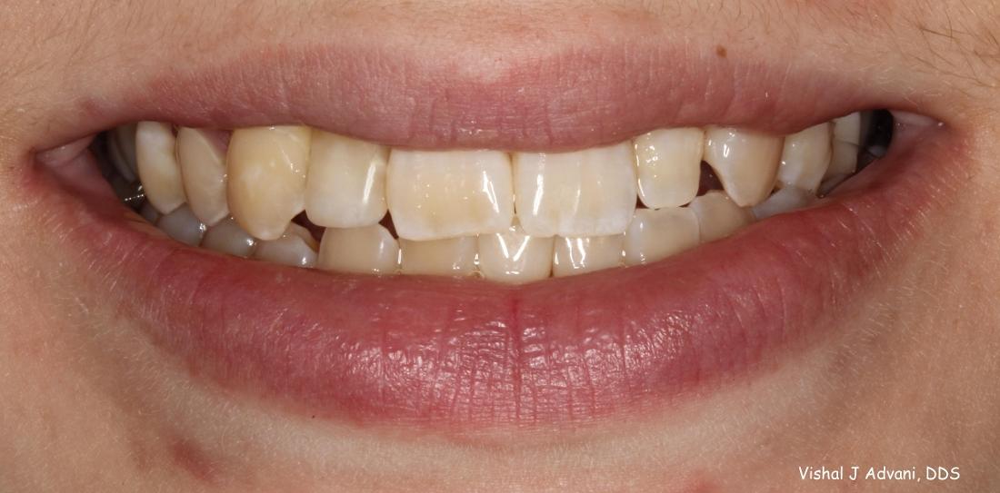
Our patient was born without her adult front tooth (congenitally missing tooth).  This is a common occurrence in the front teeth.  The adult tooth doesn't form and the baby tooth stays in place.  Because the baby teeth are smaller, the baby teeth will eventually get loose and will need to be replaced with an implant.

Dr. Vishal Advani removed the loose baby tooth and placed a dental implant the same day.  After healing of the implant, a crown was attached and looks very natural.

Friendly and Professional!

Great place! I was a new patient this visit and look forward to returning in the future. Would recommend to anyone seeking friendly, professional and informative service.

~DB

Ready to book an appointment?